BTL Polska Sp. z o.o.
BTL Polska Sp. z o.o.
Adres: Leonidasa 49, 02-239 Warszawa
Telefon: 22 667 02 76
WWW: https://www.btlnet.pl/

Podgląd wizytówki
INTIMEX
INTIMEX sp. z o.o. sp. k.
Adres: Egejska 19/39, 02-764 Warszawa
Telefon: +48 22 6687465
WWW: https://intimex.com.pl/

Podgląd wizytówki
Mindray
Mindray Medical Poland
Adres: Cybernetyki 9, 02-677 Warszawa
Telefon: 22 463 80 80
WWW: www.mindray.com

Podgląd wizytówki
Dräger Polska
Dräger Polska Sp. z o.o.
Adres: Posag 7 Panien 1, 02-495 Warszawa
Telefon: 22 243 06 58
WWW: https://www.draeger.com/pl_pl/Home

Podgląd wizytówki
MIRO
MIRO Sp. z o.o.
Adres: Mińska 25B lok U1, 03-808 Warszawa
Telefon: 22 230 20 40
WWW: https://miro-med.pl/

Podgląd wizytówki
SONOSCAPE MEDICAL CORP.
SONOSCAPE MEDICAL CORP.
Adres: Guangming District, Guangdong, 518107 Shenzhen
Telefon: +48 784 894 276
WWW: www.sonoscape.com

Podgląd wizytówki
Intelimedical
Intelimedical Poland Sp. z o.o.
Adres: ul. Kasprowicza 4, 10-220 Olsztyn
Telefon: +48 22 599 42 23
WWW: https://intelimedical.pl/

Podgląd wizytówki

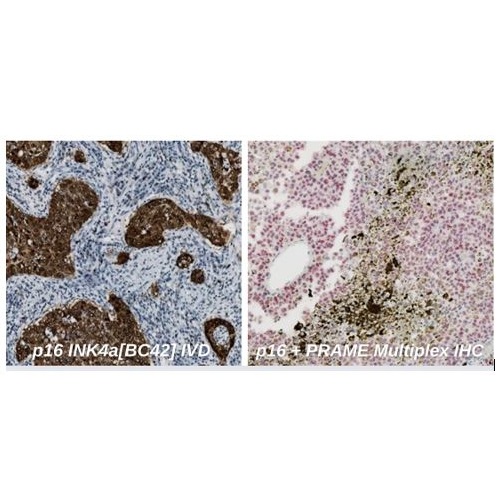
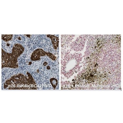
Biocare ONCORE PRO


Biocare ONCORE PRO

Barwiarka immunohistochemiczna ONCORE PRO

Automatyczny system barwienia preparatów ONCORE PRO jest kompaktowym i wygodnym urządzeniem na blatowym, wykorzystywanym do procedury IHC i hybrydyzacji in situ. Automatyzacja obejmuje wstępne suszenie preparatów, deparafinizację, odsłanianie antygenów oraz zakraplanie sond/przeciwciał i detekcję.

System zapewnia wygodę, elastyczność i łatwość obsługi. Interfejs jest intuicyjny, wymaga minimalnej interakcji. System wykorzystuje również etykiety matrycowe 2D, do znakowania próbek pacjentów, co znacznie ogranicza błędy w identyfikacji pacjentów. Niezależnie programowalne pozycje preparatów umożliwiają wykonywanie różnych protokołów w jednym cyklu.

Brak parametrów
Brak akcesoriów
Brak materiałów dodatkowych

Nie wybrano pliku
Maksymalny rozmiar załącznika to 10MB.
Pole zgody na przetwarzanie danych osobowych jest wymagane.
Partner premium
Helpi-Optics
05-500 Piaseczno, Okulickiego 5F
Telefon: 571 356 575
E-mail: Wyślij wiadomość
Przedstawiciel:
Katarzyna Szczygielska
1 produkt w ofercie
Oferta Wyślij zapytanie
Partner premium
Helpi-Optics
05-500 Piaseczno
Okulickiego 5F
Telefon: 571 356 575
E-mail: Wyślij wiadomość
Przedstawiciel:
Katarzyna Szczygielska
Serwisowani producenci (1): Biocare
Autoryzowany serwis