BTL Polska Sp. z o.o.
BTL Polska Sp. z o.o.
Adres: Leonidasa 49, 02-239 Warszawa
Telefon: 22 667 02 76
WWW: https://www.btlnet.pl/

Podgląd wizytówki
INTIMEX
INTIMEX sp. z o.o. sp. k.
Adres: Egejska 19/39, 02-764 Warszawa
Telefon: +48 22 6687465
WWW: https://intimex.com.pl/

Podgląd wizytówki
Mindray
Mindray Medical Poland
Adres: Cybernetyki 9, 02-677 Warszawa
Telefon: 22 463 80 80
WWW: www.mindray.com

Podgląd wizytówki
Dräger Polska
Dräger Polska Sp. z o.o.
Adres: Posag 7 Panien 1, 02-495 Warszawa
Telefon: 22 243 06 58
WWW: https://www.draeger.com/pl_pl/Home

Podgląd wizytówki
MIRO
MIRO Sp. z o.o.
Adres: Mińska 25B lok U1, 03-808 Warszawa
Telefon: 22 230 20 40
WWW: https://miro-med.pl/

Podgląd wizytówki
SONOSCAPE MEDICAL CORP.
SONOSCAPE MEDICAL CORP.
Adres: Guangming District, Guangdong, 518107 Shenzhen
Telefon: +48 784 894 276
WWW: www.sonoscape.com

Podgląd wizytówki
Intelimedical
Intelimedical Poland Sp. z o.o.
Adres: ul. Kasprowicza 4, 10-220 Olsztyn
Telefon: +48 22 599 42 23
WWW: https://intelimedical.pl/

Podgląd wizytówki

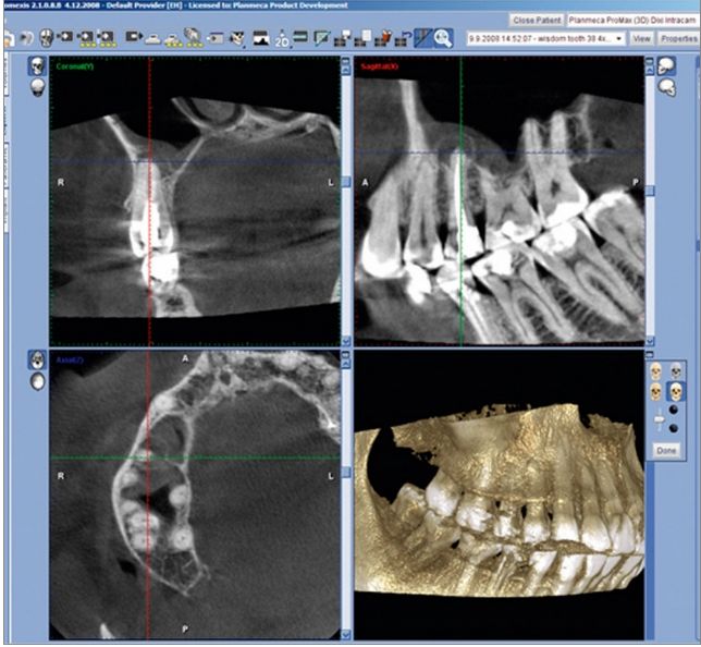
Planmeca ProMax 3Ds


Planmeca ProMax 3Ds

TOMOGRAF STOMATOLOGICZNY PROMAX 3DS

Aparat ProMax 3Ds to urządzenie zaprojektowane do szybkiego uzyskania pełnej informacji diagnostycznej w najmniejszych detalach.

Ten wszechstronny aparat zapewnia cyfrowe obrazowanie pantomograficzne, cefalometryczne i 3D.

 

Funkcjonalność:

Aparat Promax 3D jest najbardziej zaawansowanym technologicznie urządzeniem dostępnym na rynku. Umożliwia uzyskanie obrazów 2D takich jak:

  • Pantomografia, pediatryczna w tym z ograniczonym polem napromienienia;
  • Zdjęcia stawów skroniowo-żuchwowych;
  • Zdjęcia skrzydłowo-zgyzowe;
  • Zdjęcia odległościowe twarzoczaszki – cefalometryczne, zatok w różnych projekcjach.

W zakresie zdjęć tomograficznych aparat wykonuje skany:

  • obszar o średnicy od Ø5x5cm do Ø5x8 cm, z wokselem nawet 0,1mm;
  • Środek skanu może być dowolnie ustawiony ręcznie lub umieszczony w zaprogramowanych pozycjach;
  • Skany można łączyć w trybie automatycznym w poziomie lub pionie;
  • Aparat posiada opcjonalnie Autofocus, automatykę ekspozycji (DEC i AGC), możliwość wyboru kształtu żuchwy lub szczęki.

Unikalne cechy:

Wszechstronny aparat zaspokajający potrzeby wielu specjalności stomatologicznych: endodoncji, implantologii, ortodoncji, periodontologii, analizy stawów TMJ.

  • SmartPan – technika zapewniająca wyjątkową czytelność zdjęć pantomograficznych uzyskiwanych czujnikiem Flat Panel – z 9 jednocześnie otrzymywanych obrazów pantomograficznych obliczany jest jeden, o maksymalnej ostrości.
  • Robotyczne ramię SCARA 3 pozwala na niespotykaną elastyczność w obrazowaniu. Dzięki niemu położenie skanu 3D jest dowolne, a obrazy pantomograficzne dopasowane do anatomii pacjenta. Dodatkowo posiada wiele innych programów diagnostycznych.
  • Mała objętość jest idealna do planowania pojedynczych implantów, zębów mądrości, przypadków ortodontycznych i periodontologii.
  • Promax 3Ds, jak wszystkie aparaty tej rodziny może być wyposażony w przystawkę cefalometryczną, lub łatwo o nią rozbudowany późniejszym terminie.

Wyposażenie:

Aparat jest dostarczany z komputerem rekonstrukcyjnym, oprogramowaniem Romexis, z akcesoriami do pozycjonowania w pantomografii, cefalometrii i tomografii.

Pozycjonowanie pacjenta (tak/nie): Tak
Brak akcesoriów

Nie wybrano pliku
Maksymalny rozmiar załącznika to 10MB.
Pole zgody na przetwarzanie danych osobowych jest wymagane.
4 RAD
02-676 Warszawa, Suwak 4 lok. 110
Telefon: 504 113 552
E-mail: Wyślij wiadomość
Przedstawiciel:
b/d
1 produkt w ofercie
Oferta Wyślij zapytanie
AMADAR
00-050 Warszawa, Świętokrzyska 14
Telefon: (22) 826 43 81
E-mail: Wyślij wiadomość
Przedstawiciel:
. .
1 produkt w ofercie
Oferta Wyślij zapytanie
4 RAD
02-676 Warszawa
Suwak 4 lok. 110
Telefon: 504 113 552
E-mail: Wyślij wiadomość
Przedstawiciel:
b/d
Serwisowani producenci (1): Planmeca
Nieautoryzowany serwis
AMADAR
00-050 Warszawa
Świętokrzyska 14
Telefon: (22) 826 43 81
E-mail: Wyślij wiadomość
Przedstawiciel:
. .
Serwisowani producenci (2): Sirona, Planmeca
Nieautoryzowany serwis