BTL Polska Sp. z o.o.
BTL Polska Sp. z o.o.
Adres: Leonidasa 49, 02-239 Warszawa
Telefon: 22 667 02 76
WWW: https://www.btlnet.pl/

Podgląd wizytówki
INTIMEX
INTIMEX sp. z o.o. sp. k.
Adres: Egejska 19/39, 02-764 Warszawa
Telefon: +48 22 6687465
WWW: https://intimex.com.pl/

Podgląd wizytówki
Mindray
Mindray Medical Poland
Adres: Cybernetyki 9, 02-677 Warszawa
Telefon: 22 463 80 80
WWW: www.mindray.com

Podgląd wizytówki
Dräger Polska
Dräger Polska Sp. z o.o.
Adres: Posag 7 Panien 1, 02-495 Warszawa
Telefon: 22 243 06 58
WWW: https://www.draeger.com/pl_pl/Home

Podgląd wizytówki
MIRO
MIRO Sp. z o.o.
Adres: Mińska 25B lok U1, 03-808 Warszawa
Telefon: 22 230 20 40
WWW: https://miro-med.pl/

Podgląd wizytówki
SONOSCAPE MEDICAL CORP.
SONOSCAPE MEDICAL CORP.
Adres: Guangming District, Guangdong, 518107 Shenzhen
Telefon: +48 784 894 276
WWW: www.sonoscape.com

Podgląd wizytówki
Intelimedical
Intelimedical Poland Sp. z o.o.
Adres: ul. Kasprowicza 4, 10-220 Olsztyn
Telefon: +48 22 599 42 23
WWW: https://intelimedical.pl/

Podgląd wizytówki

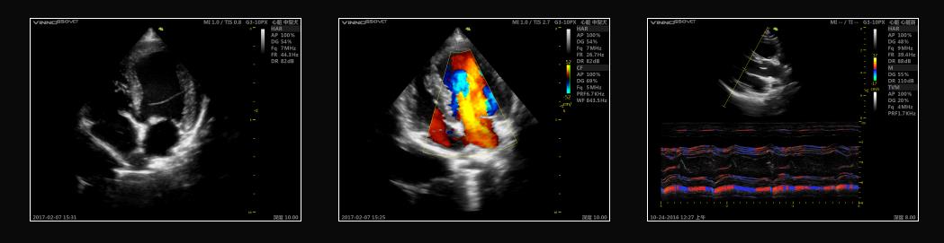
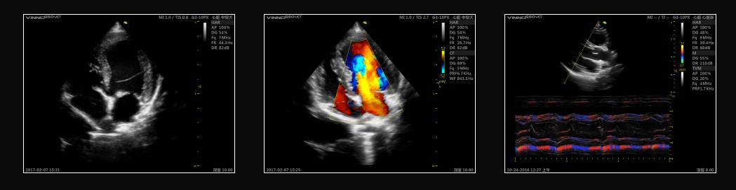
Vinno G55 VET


Vinno G55 VET

VINNO G55 VET

Najwyższa jakość obrazowania ultrasonografu weterynaryjnego.

Cechy produktu:

  • dopplerowski ultrasonograf weterynaryjny klasy premium
  • mocna platforma RF
  • zaawansowane technologie głowic obrazowych
  • niesamowita intuicyjność i doskonały cykl pracy
  • łatwa łączność z urządzeniem

Doskonała jakość dopplera w badaniach naczyniowych:

Ultrasonograf weterynaryjny VINNO G55 VET cechuje najwyższa jakość i czułość dopplera kolorowego wśród urządzeń dostępnych na rynku weterynaryjnym:

  • niezwykle czuły przepływ koloru (CFI/ PDI)
  • ostre i czyste spektrum dopplera fali pulsacyjnej, odbierające wysoką prędkość
  • doskonałe obrazowanie w trybie Triplex
  • automatyczne śledzenie spektrum w PW/CW

Platforma RF

Ultrasonograf weterynaryjny VINNO G55 VET cechuje doskonała jakość wyświetlanego obrazu. W urządzeniu zastosowano innowacyjną platformę RF, która odczytuje szerszy zakres sygnałów. Wyświetlany obraz jest bardziej wyraźny i posiada wyższą, niż standardowo, rozdzielczość.

Nowa jakość badań kardiologicznych – technologia Single Crystal

Single Crystal = WYSOKA CZUŁOŚĆ + SZEROKIE PASMO + CZYSTY OBRAZ w obrazie B-Mode i Dopplerze kolorowym. Aparat ultrasonograficzny VINNO G55 VET wyposażony jest w specjalną głowicę sektorową do badań echokardiograficznych, dedykowaną technologii Single Crystal. Zamiast konwencjonalnych złożonych piezoelektrycznych elementów, ultrasonograf weterynaryjny wykorzystuje pojedyncze kryształy (Single Crystal), emitując jednolitą transmisję Tx. Sprawia to, że fale ultradźwiękowe mogą dotrzeć głębiej w strukturę tkanki oraz pod różnymi kątami. Lepsza penetracja tkanek w połączeniu z doskonałą jakością obrazowania pozwala na uzyskanie najdokładniejszych pomiarów już za pierwszym badaniem!

 

Elastografia w ultrasonografie weterynaryjnym

Technologia pozwala na określenie elastyczności tkanek miękkich, poprzez ocenę stopnia odkształcenia danej tkanki pod wpływem mechanicznego ucisku (kompresji). Stopień odkształcenia większy będzie w tkankach miękkich niż twardych. Obraz ultrasonografu pozwala na ocenę tkanek podejrzanych o uszkodzenie/ nowotworzenie, umożliwiając precyzyjne określenie stopnia uszkodzenia.

Ultrasonograf weterynaryjny VINNO G55 VET – dane techniczne:
  • 18.5 calowy wyświetlacz LCD wysokiej rozdzielczości
  • obrazowanie 2D ze skalą szarości
  • obrazowanie 3D/4D
  • Doppler fali pulsacyjnej PW oraz wielobramkowy doppler fali pulsacyjnej HPRF
  • Doppler fali ciągłej CWD, Doppler tkankowy TD
  • Automatyczne śledzenie PW/CW
  • Obrazowanie w trybach: Color, Power, Directional Doppler
  • Obrazowanie harmoniczne z odwróceniem fazy
  • VFusion (obrazowanie wielokierunkowe); VSpeckle (redukcja artefaktów, wyostrzenie obrazu)
  • Tryb Triplex 2D B+CF w czasie jednoczesnym
  • Powiększenie obrazu/wyświetlenie w trybie pełnego ekranu
  • Różnorodne możliwości pomiarów, dzięki zastosowanym głowicom
  • Doskonała łączność: Bluetooth/Wifi
  • Panel operacyjny z możliwością podniesienia (150 mm)
  • Do 5 aktywnych portów głowic
  • Pamięć sieciowa i drukowanie

Dodatkowe moduły VINNO G55 VET:
  • Opcja EKG z 3 odprowadzeniami
  • PView – obrazowanie panoramiczne
  • TVI (Tissue Velocity Imaging)/TVM (Tissue Velocity M-mode)
  • SGC (Scanning Gain Compensation)
  • Obrazowanie kontrastowe (CBI)
  • Transfer danych na E-Mail przy użyciu dostępu do sieci
  • Bluetooth dla transferu danych TESTUJE LISTĘ Bluetooth dla transferu danych  Bluetooth dla transferu danych
Ilość aktywnych głowic: 5;
Rozmiar ekranu (cale): 18,5;
Brak akcesoriów
Brak materiałów dodatkowych

Nie wybrano pliku
Maksymalny rozmiar załącznika to 10MB.
Pole zgody na przetwarzanie danych osobowych jest wymagane.
Partner premium
VIKI-MED
41-902 Bytom, Sandomierska 9/18
Telefon: 691 971 912
E-mail: Wyślij wiadomość
Przedstawiciel:
Joanna Musik
1 produkt w ofercie
Oferta Wyślij zapytanie
Partner premium
VIKI-MED
41-902 Bytom
Sandomierska 9/18
Telefon: 691 971 912
E-mail: Wyślij wiadomość
Przedstawiciel:
Joanna Musik
Serwisowani producenci (1): Vinno
Autoryzowany serwis